Frivgames - All About Everything

Prince William Opens Up: Tough Questions from Kids on Kate's Cancer Battle
Shadow Energy Secretary's 'Scary' Near-Death Experience After Son's Birth
Tufts Women's Fencing Dominates Vassar Invitational with 5 Wins! | 2025-26 Season Opener Highlights
Sigourney Weaver on Alien 5's Cancellation & Walter Hill's New Alien V!
India's Home Appliances Boom: Why Global Giants & Startups Are Battling for Your Kitchen
Dolphins Coach's Bold Strategy: Turning Interceptions into Arm Punts | NFL Analysis
The Early Bird Show - Braden Wells' Morning Radio Playlist | November 10, 2025
Dua Lipa's Space-Age Fashion: Metallic Corset and Futuristic Style
Winter Wonderland 2025: A Magical Guide to Hyde Park's Christmas Festival
Sara Cox's Parenting Hack: Tracking Kids with Find My Friends
Princess Kate's Heartfelt Message: 20 Years of Evelina London Children's Hospital
General Hospital Spoilers November 10-14: Mystery Boss, Will Forgery, and Major Reveals!
Strict Parenting vs. Gentle Parenting: Psychologists Reveal the Long-Term Impact
Ngannou vs. Jones: The Fight That Needs to Happen!
Chef Josh Bingham: From Michelin Kitchens to Below Deck Med, and His Love for Clowns
UK Budget Update: Rachel Reeves' Plan to Cap Salary Sacrifice for Pensions
Perplexity AI: Freedom Fighter or Pit Bull?
Singapore Aquatics Aims for 20+ Gold Medals at SEA Games 2025: Bigger Picture Goals Revealed
BBC News CEO's Response to Trump: Addressing the Edited Speech Controversy
Malaysia's Glow-in-the-Dark Roads: Brilliant Idea or Costly Failure? (Full Story)
Martha: A Montreal Design Studio with a Heart - Uniting Creativity and Friendship
Revolutionary AI Uncovers Space Physics Equations from Raw Data - PhyE2E Framework Explained
Can a Father's Retirement Benefits Be Attached for Child Maintenance? | Kerala High Court Ruling
Altcoin Alert: Upcoming Events That Could Shake Up the Crypto Market
Max Verstappen's Sensational P3 Charge in 2025 Sao Paulo GP | Red Bull's Bold Strategy Explained
Santiago Lopes Suspension: Foul Play Review and Sanction Details | World Rugby
China's Flu Outbreak: Rise in Influenza, RSV, and Respiratory Diseases Alert
Tanzania's Church: A Prayer for Reconciliation and Peace Amidst Protests
Maternal Type 1 Diabetes: Protecting Children from the Disease | Epigenetic Research
Star-Studded Cast: Jessica Chastain, Chris Pine, and More in My Darling California
Antibody 04_A06: A Powerful Weapon Against HIV
Sky Italy's Roberto Pisoni Joins I Wonder Pictures: AI, Content & New Media!
Botswana Ex-Leader Slams Tanzania's Suluhu as 'Illegitimate President'
President Ruto Rebuffs Gachagua: Can Kenya Achieve First World Status?
Jaz Dhami's 'Jawab': A Musical Journey of Hope and Escapism
Why Governments Must End Factory Farm Funding: A Call for Sustainable Farming
Coffee May Protect Against Irregular Heartbeats: US Study
Uber and Lyft CEOs Reveal Robotaxi Revolution: Driverless Future Explained!
ESO's GRAVITY+ Laser Trial: New Era in Interferometry Astronomy
The Evolution of a Classic: Jiang Jie's Journey from Opera to Musical Stage
Juan Carlos I's Memoirs: Why He Skipped Spain's Sahara Withdrawal Drama!
Danny Dyer's One Last Deal: A Soccer Agent Thriller
Violent Land Eviction in Wakiso, Uganda: Suspects Charged Over Pangas Attack | ChimpReports
Scarlett Johansson's 'Eleanor the Great' | Women and World Fest Highlights
Former Minister Violated NSFAS Act in Board Appointments - Legal Opinion Exposed
Cardiff Cross Country 2025: Kenyan Dominance! Kipsang & Chepkirui Triumph
Global Cooling Watch Report 2025: Tackling Extreme Heat & Sustainable Cooling Solutions
Winter Storm Warning: Heavy Snow Hits Chicago Area - Travel Chaos and Updates

Popular Posts

The Correct Way To Pull Stubborn Thistle Weeds By Hand
M/S followed by a Company Name?
One Day Bath Replacement – Upgrade Today
Adrianna So Set
7 Best Scalp Sunscreens, According to Dermatologists
101 Meaningful Tattoo Ideas to Inspire Your 2025 Ink
Meaning Behind the Song: "Something" by the Beatles
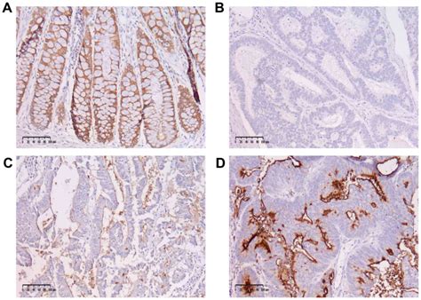
Expression of cyclooxygenase-2 and mucin 1 in colorectal cancer
Can't contour? Makeup trick to apply bronzer, blush, highlighter at once
1-DAY ACUVUE® MOIST - featuring LACREON® technology
Alyssa Milano, 51, says Nioxin and Nutrafol helped her hair loss — save up to 40%
Isabel Peña Gif Hunt Tumblr
This Is the Hair Removal Tool That Makes My Makeup Look So Much Smoother
#pure vanilla cookie | burningcheese-merchant
Dermaroller : tout ce qu'il faut savoir pour bien choisir
Can Anyone Hear Me? - Boston Review
How to remove false eyelashes? Here’s the quick and easy way.
First rain and then fire chase people from their homes in North and South Carolina
Brows on Point: Why a Pro Wax Beats DIY Tweezing Every Time | Arcadia Hair & Beauty
Xbox Games Showcase 2025 date and time revealed alongside separate The Outer Worlds 2 Direct
Voitures BMW X3 d'occasion - leboncoin
The 10 Best Nail Drill Bits for Perfect Manicures 2025
What's on your Bathroom Vanity and in Your Medicine Cabinet?
The Ultimate Guide to Crafting the Perfect Grinder Sandwich - KitchenPearls
How To Use Crutches Correctly
A Celeb Makeup Artist Broke Down the Best Way to Apply Eye Shadow (Plus What Not to Do)
Blood sugar levels: what is normal?
Here's what's open and closed in Toronto on New Year's Day 2025
Massage Therapy at Indulgences Day Spa
Bigg Boss 17's Anurag Dobhal Aka UK07 Rider Marries Ritika Chauhan; Ayesha Khan Drops Photo
Microsoft Lists forms: What's New | Microsoft Community Hub
How Well Do You Know Denzel Washington?
Best Broadband Deals | Home & Mobile Broadband Deals | Three
Micellar Water: The French Makeup Remover Your Skin *Needs*
Doronjo/ドロンジョ Blu Ray
Horoscope for Thursday, April 3, 2025
Court dismisses appeal, lawyer ordered to pay RM2.99m for Worldwide Holdings insider trading
Best Weather Apps Available in 2025
‘To be Maori is to be political’: Marlon Williams returns to his ancestral tongue
I Never Saw Shiv As A Succession Villain, But This Season 4 Scene Almost Made Me Change My Mind
Changes in Canadian contraceptive choices: results of a national survey on hormonal contraceptive use
Sculpting treatments to transform your beauty routine
EPB Adds New Quantum Physicist, Engineers to Grow EPB Quantum
Solitär: Das klassische Kartenspiel kostenlos online spielen
When Did The Movie Sarah Kohr Come Out
Amodimethicone and other Amine-functionalized Silicones | NaturallyCurly
Renaming Defense to ‘Department of War’ is latest rebrand. See others from this presidency
NVIDIA DLSS DLL 310.2.1 Download